Davi Mendes Luna1; Ludmila Cristina Camilo Furtado1; Paulo Suassuna2; Mariana Meira Dolfini Silva3
DOI: 10.17545/eOftalmo/2025.0015
RESUMO
Objetivamos descrever o manejo e prognóstico de um jovem com distrofia miotônica tipo 1 e baixa visão associada à membrana neovascular sub-retiniana. Trata-se de um homem, 39 anos, portador de distrofia miotônica tipo 1 e baixa visão em olho direito. O mapeamento da retina mostrou hemorragia sub-retiniana em área macular, com exsudação em olho direito. Tomografia de coerência óptica mostrou interface vítreo-retiniana normorrefletiva e irregular, presença de material hiporrefletivo, compatível com líquido subfoveal e presença de material hiperrefletivo, revelando fibrose subfoveal. Foi diagnosticada membrana neovascular sub-retiniana. Isto foi seguido por injeções intravítreas de Ranibizumabe. A tomografia de coerência óptica revelou interface vitreorretiniana normorrefletiva, depressão foveal presente, ausência de líquido subfoveal e cistos intrarretinianos e presença de irregularidade na camada fotorreceptora. Com isso, a relação entre alterações retinianas em pacientes com distrofia miotônica tipo 1 é elucidada, além de auxiliar no manejo dessas alterações.
Palavras-chave: Distrofia miotônica; Membrana neovascular subretiniana; Oftalmopatia; Acuidade visual; Relatos de casos.
ABSTRACT
This study aimed to describe the management and prognosis of a young man with myotonic dystrophy type 1 and low vision in his right eye associated with subretinal neovascular membrane. The patient was 39 years old. Retinal imaging showed subretinal hemorrhage in the macular area, with exudation in the right eye. Optical coherence tomography showed a normoreflective and irregular vitreoretinal interface; the presence of hyporeflective material, indicating subfoveal fluid; and the presence of hyperreflective material revealing subfoveal fibrosis. Subretinal neovascular membrane was diagnosed in the patient. Clinical management involved intravitreal injections of ranibizumab. Optical coherence tomography revealed a normoreflective vitreoretinal interface, presence of foveal depression, absence of subfoveal fluid and intraretinal cysts, and presence of irregularities in the photoreceptor layer. The findings in this case confirmed the relationship between retinal changes in patients with myotonic dystrophy type 1 and their management.
Keywords: Myotonic dystrophy; Subretinal neovascular membrane; Ophthalmopathy; Visual acuity; Case report.
INTRODUÇÃO
A Distrofia miotônica tipo 1 (DM1), ou Steinert, é uma patologia genética neuromuscular e multissistêmica1, causada pela repetição anormal do tripleto CTG no gene DMPK2. A ligação entre o DM1 e diversos achados oftalmológicos, como ptose, catarata e redução da pressão intraocular, é amplamente conhecida1. Alterações retinianas também são relatadas, como alterações no epitélio pigmentar da retina (EPR) e a existência de uma membrana epirretiniana3-5, mas informações que configuram a membrana neovascular sub-retiniana (MNVSR) como consequência do DM1 são pouco exploradas na literatura. O presente relato tem como objetivo descrever o manejo e prognóstico do caso de um jovem com diagnóstico de DM1 e baixa visão em olho direito (OD) associada ao desenvolvimento de MNVSR.
RELATO DO CASO
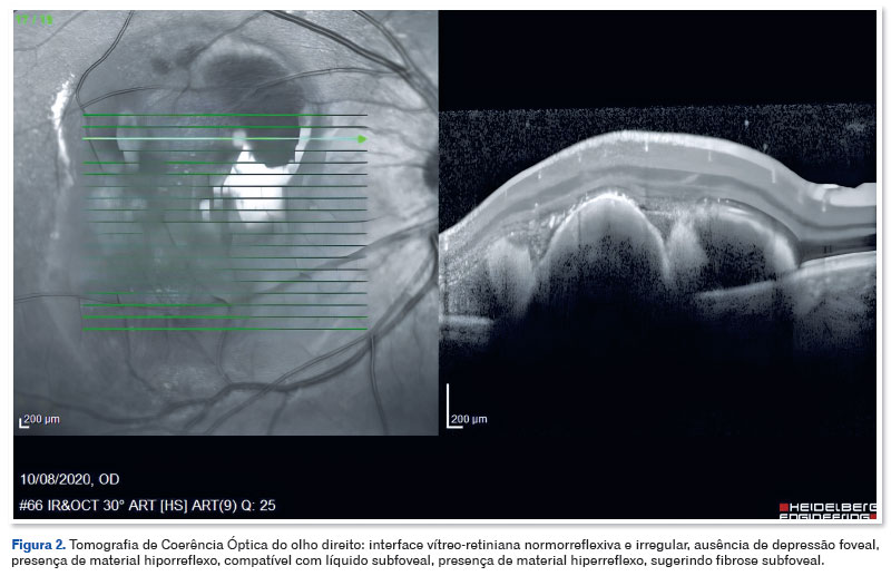
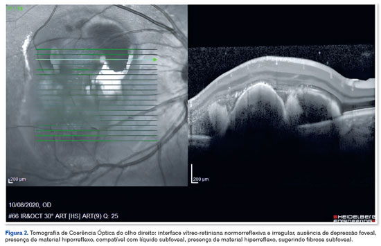
Homem, 39 anos, portador de DM1, diagnosticado na primeira infância por meio de teste PCR com eletroforese capilar e southern blot que identificou repetições patológicas da trinca CTG no gene DMPK, relatou perda de visão recente no OD. Ao exame oftalmológico, a acuidade visual (AV) era 20/100 em OD e 20/20 em OE, ambas com correção. A biomicroscopia revelou conjuntiva clara, córnea transparente, ausência de reação na câmara anterior e cristalino transparente em ambos os olhos. Movimento ocular extrínseco preservado em ambos os olhos. O mapeamento da retina evidenciou hemorragia sub-retiniana em área macular, associada a exsudação em olho direito (Figura 1). O paciente não apresentava alterações retinianas no olho esquerdo. A angiografia fluoresceínica incluiu alguns achados como hipofluorescência por bloqueio na área macular do olho direito. O exame de tomografia de coerência óptica (OCT) evidenciou interface vítreo-retiniana normorreflexiva e irregular, ausência de depressão foveal, presença de material hiporrefletivo, compatível com líquido subfoveal e presença de material hiperreflexivo, sugerindo fibrose subfoveal (Figura 2).

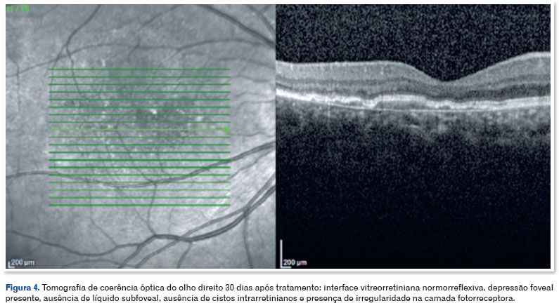
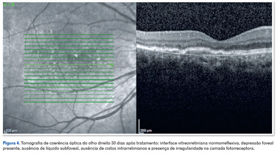
Diante do diagnóstico de membrana neovascular sub-retiniana em olho direito, o paciente foi submetido a três aplicações, com 30 dias de intervalo, de injeção intravítrea de ranibizumabe 10 mg/ml 0,1 ml a 4 mm do limbo. Evoluiu com melhora significativa da acuidade visual: na revisão 30 dias após a última aplicação, a acuidade visual era de 20/40 no OD e a OCT do OD revelou interface vitreorretiniana normorreflexiva, depressão foveal presente, ausência de líquido subfoveal, ausência de cistos intrarretinianos e presença de irregularidade na camada fotorreceptora (Figuras 3 e 4).

DISCUSSÃO
O DM1 é um distúrbio de herança autossômica dominante, descrito pela primeira vez há mais de um século, e seu mecanismo genético tem sido cada vez mais elucidado por meio de diversos estudos2. Sua causa, conforme já descrito, está relacionada à expansão de uma repetição em tandem1,2. As apresentações clínicas incluem amplo espectro e, em 75% dos casos, iniciam-se na segunda, terceira ou quarta década de vida. O primeiro sintoma mais comum é a miotonia2.
Uma série de achados oftalmológicos são descritos na literatura em pacientes com DM11,2,4,6. Ikeda et. al. relata que aproximadamente 90% dos pacientes analisados em seu estudo apresentam catarata ou facoemulsificação prévia. O segundo achado mais frequente na coorte foi a ptose palpebral6. O paciente do presente caso não apresentou nenhum desses achados, o que evidencia maior relevância do caso.
Quanto à retina, em Abed et. al., a retina foi avaliada em uma coorte de pacientes com DM1 e comparada com um grupo controle de indivíduos saudáveis. Como resultado, os pacientes com DM1 apresentaram maior espessura macular central, maior prevalência de membrana epirretiniana e maior número de anomalias pigmentares em borboleta e reticulares. O estudo correlacionou alterações retinianas internas e externas com o aumento da idade, sugerindo envelhecimento prematuro da retina em indivíduos com DM14.
Além disso, vale ressaltar que, dentre as principais causas de neovascularização retiniana está a degeneração macular devido à idade avançada, o que não se correlaciona como fator causal do caso descrito, visto que trata-se de um adulto jovem7. Outras causas associadas são uveítes, traumas oculares, tumores e coroidopatia hipertensiva, ausentes no histórico do paciente em questão. Dessa forma, exclui-se possíveis causas da membrana neovascular, fortalecendo a DM1 como provável fator causal8.
Processos neovasculares sub-retinianos ocorrem em doenças que afetam a retina externa e a membrana de Bruch, e o atual tratamento de primeira linha envolve a neutralização do fator de crescimento endotelial vascular (VEGF), uma molécula importante na patogênese do MNVSR9. No caso descrito, o paciente melhorou satisfatoriamente com o uso de Ranibizumabe, medicamento biológico que inibe a ação do VEGF-A. Estudos já testaram a eficácia do Ranibizumabe em pacientes com neovascularização coroidal idiopática, relatando reabsorção do edema macular e melhora significativa da acuidade visual após uma média de três injeções por paciente10.
Ressalta-se a relevância do caso para a literatura visto que foram encontrados pelos autores pouquíssimas descrições de casos semelhantes publicados nas principais bases de dados. Assim, por descrever uma potencial relação entre MNVSR e DM1, trata-se de um relato de caso raro e de grande contribuição para a comunidade médica.
Em conclusão, casos como o descrito não foram encontrados na literatura atual, e seu relato pode elucidar a relação entre alterações retinianas em pacientes com DM1, bem como auxiliar no manejo de tais alterações, principalmente MNVSR.
AGRADECIMENTO
À clínica Oftalmax pela estrutura e apoio na realização do trabalho.
REFERÊNCIAS
1. Majid Moshirfar, Webster CR, Seitz TS, Ronquillo YC, Hoopes PC. Ocular Features and Clinical Approach to Cataract and Corneal Refractive Surgery in Patients with Myotonic Dystrophy. Clin Ophthalmol. 2022 Aug 25;16:2837-42.
2. Thornton CA. Myotonic Dystrophy. Neurol Clin. 2014;32(3):705-19.
3. Kirkegaard-biosca E, Berges-Marti M, Azarfane B, Cilveti E, Distefano L, García-Arumí J. Fundus flavimaculatus-like in myotonic dystrophy: a case report. BMC Ophthalmol. 2021; 21(1):240.
4. Abed E, Guglielmo D'Amico, Rossi S, Perna A, Laura M, Silvestri G. Spectral domain optical coherence tomography findings in myotonic dystrophy. Neuromuscul Disord. 2020;30(2):144-150.
5. Zinkernagel MS, Hornby SJ, MacLaren RE. Choroidal new vessels in type 1 myotonic dystrophy-related macular dystrophy respond to anti-VEGF therapy. Eye (Lond). 2012;26(12):1595-6.
6. Ikeda KS, Iwabe-Marchese C, França Jr MC, Nucci A, Carvalho KM de. Myotonic dystrophy type 1: frequency of ophthalmologic findings. Arq Neuropsiquiatr. 2016;74(3):183-8.
7. Weber ML, Heier JS. Choroidal Neovascularization Secondary to Myopia, Infection and Inflammation. Dev Ophthalmol. 2016;55:167-75.
8. Baxter SL, Pistilli M, Pujari SS, Liesegang TL, Suhler EB, Thorne JE, et al. Risk of choroidal neovascularization among the uveitides. Am J Ophthalmol. 2013;156(3):468-477.e2.
9. Campochiaro PA. Molecular pathogenesis of retinal and choroidal vascular diseases. Prog Retin Eye Res. 2015 Nov;49:67-81.
10. Chrapek O, Vostrovská Z, Šínová I, Chrapková B. Treatment of idiopathic choroidal neovascular membrane with ranibizumab - our experience. Cesk Slov Oftalmol. 2019;75(1):25-29.
| INFORMAÇÕES DOS AUTORES |
|
![]() |
» Davi Mendes Luna https://orcid.org/0000-0002-3500-4621 http://lattes.cnpq.br/8536331220140020 |
![]() |
» Paulo Suassuna https://orcid.org/0006-5601-2934 http://lattes.cnpq.br/0322257309114269 |
![]() |
» Ludmila Cristina Camilo Furtado https://orcid.org/0000-0002-5497-4033 http://lattes.cnpq.br/9383771739969144 |
![]() |
» Mariana Meira Dolfini Silva https://orcid.org/0009-0008-9408-8168 http://lattes.cnpq.br/4918756386818033 |
Financiamento: Declaram não haver.
Aprovação do Comitê de Ética: Complexo Hospitalar HUOC/PROCAPE (CAAE: 83426624.6.0000.5192).
Conflitos de Interesse: Declaram não haver.
Recebido em:
10 de Janeiro de 2025.
Aceito em:
24 de Setembro de 2025.