Isabella Passarelli Giabardo Marques; Caio Henrique Peres Oliani; Guilherme de Oliveira Aurich; Guilherme Lopes Coelho, Marcello Novoa Colombo Barboza, Priscilla Fernandes Nogueira
DOI: 10.17545/eOftalmo/2024.0030
RESUMO
OBJETIVOS: Descrever o perfil epidemiológico e as manifestações clínicas de fístulas carótido-cavernosas (FCC) diretas em pacientes idosos, por meio de dois relatos de caso.
MÉTODOS: Estudo descritivo retrospectivo envolvendo dois pacientes atendidos no Hospital Visão Laser, Brasil. Ambos foram submetidos a exame oftalmológico completo e angio ressonância magnética. O estudo foi aprovado pelo comitê de ética em pesquisa (Plataforma Brasil – CAAE: 76124923.3.0000.0175), e todos os participantes assinaram o termo de consentimento livre e esclarecido.
RESULTADOS: Caso 1: Paciente do sexo feminino, 78 anos, hipertensa, apresentou início súbito de dor ocular intensa, proptose, quemose, hiperemia conjuntival difusa, oftalmoplegia completa, sopro orbitário e zumbido à direita. A angiorressonância confirmou a presença de FCC direta. A paciente foi submetida a tratamento endovascular com resolução completa do quadro. Caso 2: Paciente do sexo feminino, 69 anos, referiu diplopia binocular de início recente, acompanhada de proptose discreta, sinais clínicos compatíveis com a tríade de Dandy (quemose, proptose e sopro orbitário) e paralisia isolada do sexto nervo craniano (nervo abducente). A angio ressonância revelou FCC direta, e a paciente encontra-se em acompanhamento, aguardando tratamento endovascular. Os dois casos ilustram diferentes graus de comprometimento clínico, refletindo a variabilidade na apresentação das FCCs diretas.
CONCLUSÕES: As fístulas carótido-cavernosas diretas, embora comumente associadas a trauma, podem ocorrer espontaneamente em idosos devido à fragilidade vascular. São caracterizadas por início abrupto e manifestações orbitárias evidentes, como proptose, hiperemia conjuntival e oftalmoplegia. O reconhecimento precoce e o tratamento endovascular oportuno são fundamentais para preservar a função visual e neurológica.
Palavras-chave: Fístula carótido-cavernosa; Distúrbios da visão; Paralisia do nervo abducente; Angiorressonância magnética; Embolização terapêutica.
ABSTRACT
OBJECTIVES: To describe the epidemiological profile and clinical manifestations of direct carotid-cavernous fistulas in elderly patients through two case reports.
METHODS: This was a retrospective descriptive study involving two patients treated at Laser Vision Hospital in Brazil. Both underwent complete ophthalmologic examinations and magnetic resonance angiography (MRA).
RESULTS: Case 1: A 78-year-old hypertensive female patient presented with sudden onset of severe eye pain, proptosis, chemosis, diffuse conjunctival hyperemia, complete ophthalmoplegia, orbital bruit, and tinnitus on the right side. Magnetic resonance angiography confirmed the presence of a direct carotid-cavernous fistula. The patient underwent endovascular treatment, with complete resolution of the condition. Case 2: A 69-year-old female patient reported recently onset binocular diplopia accompanied by mild proptosis. The clinical signs were suggestive of Dandy’s triad (chemosis, proptosis, and orbital bruit) and isolated paralysis of the sixth cranial nerve (abducens nerve). Magnetic resonance angiography demonstrated a direct carotid-cavernous fistula. The patient is currently under follow-up and awaiting endovascular treatment. These two cases illustrate different degrees of clinical involvement and reflect the variability in the presentation of direct carotid-cavernous fistulas.
CONCLUSIONS: Although direct carotid-cavernous fistulas are commonly associated with trauma, they may occur spontaneously in elderly patients due to vascular fragility. They are characterized by sudden onset and prominent orbital manifestations such as proptosis, conjunctival hyperemia, and ophthalmoplegia. Early diagnosis and timely endovascular treatment are essential for preserving visual and neurological function.
Keywords: Carotid-cavernous fistula; Vision disorders; Abducens nerve palsy; Magnetic resonance angiography; Therapeutic embolization.
INTRODUÇÃO
As fístulas carótido-cavernosas (FCCs) são comunicações patológicas entre a artéria carótida interna (ACI) e o seio cavernoso. A classificação de Barrow et al. divide as FCCs em quatro tipos: o tipo A corresponde à fístula direta, de alto fluxo, envolvendo uma ruptura direta da ACI para o seio cavernoso, enquanto os tipos B, C e D correspondem às formas indiretas, de baixo fluxo, geralmente ramos durais das artérias carótidas interna ou externa1.
As FCCs diretas são mais frequentemente associadas a traumatismos cranianos e representam a forma mais grave e ruidosa, com sintomas que se instalam rapidamente. Embora mais comuns em homens jovens após trauma, também podem ocorrer espontaneamente em idosos, geralmente relacionadas à ruptura aneurismática da ACI intracavernosa ou a fragilidade vascular decorrente de hipertensão e aterosclerose2,3.
Clinicamente, as FCCs diretas produzem elevação abrupta da pressão venosa orbitária, resultando em proptose, quemose, congestão conjuntival, sopro pulsátil e paralisias dos III, IV e VI nervos cranianos. A tríade de Dandy (proptose, sopro orbital e congestão conjuntival) é altamente sugestiva4. A angiografia cerebral digital é o padrão-ouro para o diagnóstico, mas exames como a angiografia por ressonância magnética podem indicar dilatação da veia oftálmica superior e alterações do seio cavernoso5.
O tratamento é prioritariamente endovascular, com altas taxas de oclusão da fístula e recuperação clínica significativa. A abordagem multidisciplinar envolvendo oftalmologistas, neurorradiologistas e neurocirurgiões é essencial6.
MÉTODOS
Este é um estudo descritivo, retrospectivo, de relato de caso envolvendo dois pacientes tratados no Hospital Visão Laser. Ambos foram avaliados clinicamente por meio de um exame oftalmológico completo e submetidos a exames de imagem. O estudo foi aprovado pelo Comitê de Ética em Pesquisa (Plataforma Brasil – CAAE: 76124923.3.0000.0175), de acordo com a Declaração de Helsinque e a Resolução CNS nº 466/2012. Os pacientes forneceram consentimento livre e informado para a publicação dos dados clínicos e imagens de seus respectivos casos. As informações foram extraídas dos prontuários médicos e analisadas descritivamente, com ênfase nos achados clínicos e de imagem e na abordagem adotada em cada caso.
RESULTADOS
Caso 1
Mulher branca de 78 anos com histórico de hipertensão arterial sistêmica procurou o serviço de oftalmologia relatando dor, vermelhidão e blefaroptose em olho direito nos últimos 10 dias. Quando questionada sobre sintomas sistêmicos, ela relatou cefaleia de forte intensidade associada a zumbido, mais pronunciado na orelha direita. Ela negou qualquer histórico de trauma ou cirurgias anteriores. Uma tomografia computadorizada craniana anterior foi considerada normal.
No exame oftalmológico, a acuidade visual melhor corrigida (AVCC) era de 20/50 em ambos os olhos (AO). A inspeção externa do olho direito revelou edema palpebral, ptose e equimose, juntamente com frêmito palpável no globo ocular (Figura 1A-B). A exoftalmometria de Hertel mediu 24 mm no olho direito (OD) e 18 mm no esquerdo (OE), confirmando proptose do lado direito.
A biomicroscopia do olho direito demonstrou quemose acentuada (Figura 1C), hiperemia conjuntival 3+, vasos episclerais dilatados, ceratite em faixa inferior, câmara anterior profunda e catarata nuclear grau N2–3. Olho esquerdo sem alterações. A avaliação da motilidade ocular revelou oftalmoplegia completa no olho direito, enquanto os movimentos estavam preservados no esquerdo. Os reflexos pupilares eram presentes e simétricos (3+) em ambos os olhos. Pressão intraocular (PIO) de 20 mmHg e 16 mmHg. Mapeamento de retina sem alterações.
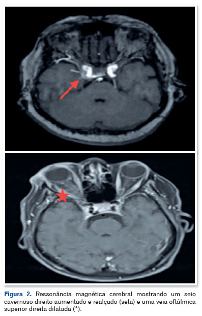
A ressonância magnética craniana (Figura 2) e a angiografia por ressonância magnética (Figura 3) revelaram estruturas vasculares tortuosas e ectásicas adjacentes à parede posteromedial do segmento intracavernoso da artéria carótida interna direita, bem como dilatação assimétrica da veia oftálmica superior no mesmo lado e proptose direita grau II. Esses achados foram consistentes com o diagnóstico de FCC.


A paciente foi encaminhada para avaliação neurocirúrgica e submetida a tratamento endovascular bem-sucedido. Dois meses após a embolização, retornou para acompanhamento oftalmológico, apresentando resolução completa dos sinais clínicos. A acuidade visual corrigida manteve-se 20/50 AO. À biomicroscopia, não havia hiperemia, córnea transparente e câmara anterior formada AO. A motilidade ocular encontrava-se totalmente preservada em ambos os olhos, não havia frêmito palpável e a paciente permanecia assintomática, sem dor.
Caso 2
Feminino, 69 anos, procurou o serviço de emergência oftalmológica com queixas de diplopia binocular e vermelhidão no OE iniciadas no dia anterior. Referia cefaleia e zumbido no ouvido esquerdo com evolução ao longo de aproximadamente um mês. Negava antecedentes oftalmológicos ou comorbidades sistêmicas conhecidas.
Ao exame, o reflexo de Hirschberg encontrava-se descentrado, e o teste de cover e prisma evidenciou esotropia de 20 dioptrias prismáticas para longe. Durante o exame de duções e versões, observou-se hipofunção do músculo reto lateral esquerdo, graduada em −3, achado compatível com paralisia do nervo abducente (Figura 4). A acuidade visual corrigida era de 20/25 em AO. Observou-se proptose do olho esquerdo à ectoscopia, acompanhada de frêmito palpável. A exoftalmometria de Hertel aferiu 17 mm no OD e 20 mm no OE, configurando uma assimetria superior a 2 mm, indicativa de proptose.
À biomicroscopia, notavam-se vasos conjuntivais nasais dilatados e hemorragia subconjuntival nos quadrantes temporal e inferior. O exame de fundo revelou disco óptico rosado, com margens bem definidas e relação escavação/disco de 0,2 AO, sem alterações significativas no polo posterior. PIO 14 mmHg AO.
A apresentação clínica foi marcada pela tríade clássica de Dandy — proptose pulsátil, sopro orbitário e hiperemia conjuntival — levantando forte suspeita de FCC direta, associada à paralisia do sexto nervo.
A paciente foi encaminhada para avaliação neurológica. A angiorressonância arterial e venosa de encéfalo e vasos cervicais identificou proeminência vascular no seio cavernoso esquerdo, adjacente ao segmento cavernoso da artéria carótida interna ipsilateral, além de sinais de congestão venosa na base do crânio (Figura 5). Os achados foram compatíveis com uma FCC direta à esquerda.

A paciente segue em acompanhamento e aguarda a realização de exames adicionais para o planejamento do tratamento endovascular com vistas à oclusão da fístula.
DISCUSSÃO
Os casos apresentados ilustram manifestações clínicas de FCCs em pacientes idosos, ressaltando a variabilidade fenotípica e a gravidade potencial dessas comunicações arteriovenosas. Tradicionalmente, as FCCs diretas são mais frequentes em adultos jovens do sexo masculino, geralmente após trauma cranioencefálico, representando até 75% dos casos descritos em algumas séries2,3. No entanto, há relatos crescentes de apresentações espontâneas em idosos, geralmente associadas à ruptura de aneurismas cavernosos ou à fragilidade da parede da ACI intracavernosa, favorecida por hipertensão arterial sistêmica, aterosclerose e microangiopatia2,6. Nossos dois casos reforçam que o contexto demográfico não exclui a possibilidade de FCC direta, exigindo vigilância clínica mesmo na ausência de trauma.
A fisiopatologia das FCCs diretas envolve a ruptura da parede da ACI, criando uma comunicação de alto fluxo com o seio cavernoso. O fluxo arterial sob alta pressão é desviado para o sistema venoso cavernoso, produzindo hipertensão venosa orbitária aguda. Essa condição leva a proptose, quemose, dilatação dos vasos episclerais, hiperemia conjuntival difusa e, em casos mais graves, paralisias oculomotoras devido à compressão dos nervos cranianos III, IV e VI no interior do seio cavernoso7. O sopro orbitário pulsátil, frequentemente audível ao exame clínico, é considerado um dos sinais mais específicos e esteve presente em ambos os casos descritos.
O caso 1 apresentou um quadro exuberante, com oftalmoplegia completa, intensa quemose e dor ocular, típico de uma fístula de alto fluxo. Já o caso 2 destacou-se pela tríade de Dandy clássica associada a paralisia isolada do VI par, um achado relativamente frequente, já que o nervo abducente é o mais vulnerável no seio cavernoso. Essa diferença de apresentações ilustra como o calibre da ruptura arterial, o volume do shunt e as vias de drenagem venosa influenciam a gravidade clínica8.
A evolução das FCCs diretas é geralmente aguda e rapidamente progressiva, diferindo das formas indiretas, que apresentam curso mais insidioso. Essa característica, embora torne o diagnóstico clínico mais evidente, também aumenta o risco de complicações caso o tratamento seja retardado. Entre as complicações descritas estão neuropatia óptica isquêmica, glaucoma secundário por aumento da pressão venosa episcleral, embolia retiniana e até mesmo hemorragia intracraniana7,9. Assim, reconhecer precocemente sinais orbitários súbitos — sobretudo em pacientes idosos com queixa de sopro pulsátil — é determinante para reduzir o risco de sequelas permanentes.
Do ponto de vista diagnóstico, a angiografia cerebral digital (DSA) permanece como o padrão-ouro, permitindo caracterização detalhada da anatomia da fístula e planejamento terapêutico. Contudo, a angiografia por ressonância magnética (ARM), utilizada em nossos casos, tem se mostrado uma ferramenta valiosa como exame inicial, por revelar dilatação da veia oftálmica superior, alterações do seio cavernoso e padrões de congestão venosa orbitária. Esses achados são altamente sugestivos de FCC direta e justificam a pronta investigação invasiva subsequente5,6.
O tratamento endovascular constitui o padrão terapêutico atual, com taxas de oclusão superiores a 90% em grandes séries6,9. A escolha da técnica — embolização transarterial, transvenosa ou híbrida — depende da anatomia individual da fístula e da acessibilidade vascular. No caso 1, a intervenção endovascular resultou em resolução completa dos sinais clínicos em curto prazo, corroborando a eficácia da abordagem.
Portanto, os casos aqui descritos ressaltam que as fístulas carótido-cavernosas diretas também podem ocorrer de forma espontânea em pacientes idosos, mesmo na ausência de trauma, e demandam alta suspeição clínica. O reconhecimento precoce da tríade de Dandy e de sinais orbitários de instalação súbita, associado à utilização de métodos de imagem avançados, é essencial para o diagnóstico rápido e o encaminhamento adequado para tratamento endovascular. Essa abordagem é crucial para reduzir a morbidade, preservar a acuidade visual e prevenir complicações neurológicas potencialmente graves.
REFERÊNCIAS
1. Barrow DL, Spector RH, Braun IF, Landman JA, Tindall SC, Tindall GT. Classification and treatment of spontaneous carotid-cavernous fistulas. J Neurosurg. 1985;62(2):248-56.
2. Ellis JA, Goldstein H, Connolly ES Jr, Meyers PM. Carotid-cavernous fistulas. Neurosurg Focus. 2012;32(5):E9.
3. Halbach VV, Hieshima GB, Higashida RT, Reicher M. Carotid cavernous fistula: indications for urgent treatment. AJR Am J Neuroradiol. 1987;149(3):587-93.
4. Dandy WE. Orbital aneurysm of the internal carotid artery. Arch Surg. 1933;26(5):849-56.
5. Cloft HJ, Kallmes DF. Endovascular management of carotid cavernous fistulas. Neurosurg Clin N Am. 2005;16(3):447-55.
6. Gemmete JJ, Ansari SA, Gandhi D. Endovascular techniques for treatment of carotid-cavernous fistula. Neuroimaging Clin N Am. 2009;19(2):249-67.
7. Kupersmith MJ, Berenstein A, Choi IS, Nelson PK. Clinical features of spontaneous carotid cavernous fistulas. Arch Neurol. 1988;45(8):1066-71.
8. Miller NR. Differential diagnosis of orbital congestion. Trans Am Ophthalmol Soc. 1982;80:560-631.
9. Henderson AD, Miller NR. Carotid-cavernous fistula: current concepts in aetiology, investigation, and management. Eye (Lond). 2018;32(2):164-72.
| INFORMAÇÃO DOS AUTORES |
|
![]() |
»Isabella Passarelli Giabardo Marques https://orcid.org/0009-0004-1235-9800 http://lattes.cnpq.br/4382052210194962 |
![]() |
»Caio Henrique Peres Oliani https://orcid.org/0009-0003-3800-2984 http://lattes.cnpq.br/8416687727938491 |
![]() |
» Guilherme de Oliveira Aurich |
![]() |
» Guilherme Lopes Coelho https://orcid.org/0009-0009-9105-7064 http://lattes.cnpq.br/5954668772485257 |
![]() |
» Marcello Novoa Colombo Barboza |
![]() |
» Priscilla Fernandes Nogueira |
Financiamento: Declaram não haver.
Aprovação do comitê de ética: Instituto do Cancêr Brasil – ICBR (CAEE: 76124923.3.0000.0175).
Conflitos de interesse: Declaram não haver.
Recebido em:
12 de Agosto de 2025.
Aceito em:
10 de Novembro de 2025.