Júlia Spolti1; Eduarda Tanus Stefani1; Luana Carbonera Araldi1; Rafael Diego Signor1; João Paulo André Aragon Almanza1; Cesar Gomes da Silveira2
DOI: 10.17545/eOftalmo/2022.0022
RESUMO
As manifestações oftalmológicas decorrentes da infecção pelo SARS-CoV-2 estão sendo estudadas no meio científico, entretanto, o conhecimento acerca das afecções relacionadas ao segmento ocular posterior ainda é escasso. Neste trabalho relatamos uma paciente jovem com queixa visual após infecção recente por COVID-19, evidenciando importantes hemorragias retinianas. O uso de bevacizumab foi o tratamento escolhido, levando à melhora do quadro. Destacamos, então, a importância do monitoramento fundoscópico em pacientes pós-COVID 19 para avaliação dos padrões circulatórios sistêmicos de forma não invasiva.
Palavras-chave: COVID-19; Hemorragia Retiniana; Infecção pelo SARS-CoV-2.
ABSTRACT
The ophthalmological manifestations resulting from SARS-CoV-2 infection have been documented in the scientific community, but the knowledge about the related affections to the posterior ocular segment is still scarce. In this study, we report a young patient with visual complaint after a recent COVID-19 infection, showing important retinal hemorrhages and bevacizumab was the treatment of choice, leading to clinical improvement. We highlight the importance of fundoscopic monitoring in post-COVID-19 patients for non-invasive assessment of systemic circulatory patterns.
Keywords: COVID-19, Retinal hemorrhage; SARS-CoV-2 infection.
INTRODUÇÃO
Em dezembro de 2019 foram diagnosticados os primeiros casos de pneumonia por SARS-CoV-2 em Wuhan, na China. As principais manifestações clínicas englobam grande variabilidade de sinais e sintomas clínicos, e alguns estudos incluem achados oftalmológicos1,2. Manifestações oculares causadas pela COVID-19 são incomuns, com prevalência estimada de 4% ou menos3. As alterações mais frequentes são olho seco, visão borrada, sensação de corpo estranho4, conjuntivite, epífora, hiperemia conjuntival e quemose2.
As apresentações dessa doença, no segmento posterior do olho, apontam para lesões inespecíficas, como bandas hiperreflectivas no nível das células ganglionares5. Há, também, relatos de oclusões venosas da retina e edema macular6. Neste relato, apresenta-se um caso presuntivo a oclusão de veia retiniana em um curto espaço de tempo, após a infecção por COVID-196,7.
RELATO DE CASO
Em setembro de 2020, paciente feminina, 32 anos, procura atendimento devido ao aparecimento de “manchas” escuras no olho esquerdo (OE), há aproximadamente 3 dias. Teve infecção pouco sintomática por COVID-19, um mês antes dos sintomas visuais, diagnosticado por teste molecular através de técnica de PCR (reação de polimerase em cadeia), sem lesões em tomografia de tórax e testes sanguíneos normais, sem sinais de coagulopatia. Na história clínica não apresentava comorbidades, negava histórico de trauma, tabagismo ou uso de quaisquer medicamentos com risco para evento tromboembólico. Não houve necessidade de internação hospitalar pela doença.
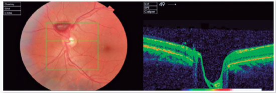
Ao exame apresentou acuidade visual com correção (AV) de 20/20 em olho direito (OD) e 20/100 em OE. Exame de biomicroscopia dentro dos padrões de normalidade, sem reação de câmara anterior e pressão intraocular de 10 mmHg em ambos os olhos (AO). Ao exame de fundo de olho, observou-se escavação aumentada e assimétrica no OD. No OE apresentou sangramento pré-retiniano e vítreo, perfazendo arcada superior e inferior da retina, proximal ao disco, com vitreíte. Apresentou também edema de disco óptico. Realizou OCT (tomografia de coerência óptica) macular e de disco óptico em AO (Figuras 1 e 2) no mesmo dia, com disco óptico edemaciado, sangramento pré-retiniano em arcada superior e inferior proximal ao disco, e sangramentos pontuais em arcadas terminais, com ausência de edema macular. Sob a hipótese diagnóstica de hemioclusão venosa, foi instituído tratamento com bevacizumab (Avastin; Genentech Inc., San Francisco, CA) 1,5 mg, visando reduzir a vasculite e a angiogênese patológica, uma vez que até então não havia sido estabelecido protocolo para esse tipo de quadro. No retorno, em uma semana, a paciente referiu melhora, e a OCT demonstrou bastante diminuição da área de extensão do sangramento, com melhora da acuidade visual, restabelecendo a mesma do período pré-diagnóstico do evento retiniano apresentado: 20/20 OD e 20/60 OE (Figuras 3 e 4). Cabe frisar que a melhor acuidade da paciente, nesse olho, desde 2018 era 20/60, devido à ambliopia em OE.



Um mês após o diagnóstico observou-se melhora no OE, não havendo mais hemorragia, e visão 20/60, com demais padrões de exame oftalmológicos preservados, dentro da normalidade. A acuidade visual se manteve 20/20 no OD.
DISCUSSÃO
A COVID-19 é caracterizada principalmente por sintomas de tosse, febre, dispneia e quadro de pneumonia1, e pode estar relacionada a outros desfechos clínicos ainda não bem elucidados na literatura, como o caso da paciente relatada nesse estudo. Pouco se sabe a respeito do acometimento oftalmológico, em especial à lesões identificadas na retina, embora já existam relatos de hemorragias pontuais e oclusão de veia central retiniana em associação com diagnóstico de COVID-198,9. Em nosso relato, observamos hemorragia proximal ao disco óptico e edema de disco óptico.
De acordo com a literatura atual essas alterações apresentadas são características de oclusão venosa da retina. Na maior parte dos casos essa condição é encontrada em pessoas acima de 40 anos, e mais frequentemente em idosos acima de 60 anos10. É caracterizada por perda de visão unilateral após ingurgitamento e dilatação das veias retinianas, seguido de hemorragias retinianas e áreas de isquemia10. Observa-se hemorragias desde a cabeça do nervo óptico até a periferia da retina; hemorragias em chama de vela, que são mais superficiais; e manchas algodonosas, que representam isquemia. Menos frequentemente o edema macular e do nervo óptico estão presentes11.
Atualmente, sugere-se que a infecção por COVID-19 possa predispor a eventos trombóticos12. Estudos já trouxeram a hipótese de que o envolvimento da microvasculatura da retina, visto em pacientes com COVID-19, possa ser decorrente da doença e consequentemente levar à manifestações oftalmológicas importantes, com potencial risco de complicações vasculares retinianas8,9,13,14.
É sabido que o envolvimento da microvasculatura pode gerar doenças oculares devido ao fato de que a circulação retiniana é um sistema arterial terminal14. Contudo, mecanismos que expliquem o dano vascular na doença COVID-19 ainda não são bem entendidos, mas duas principais hipóteses são estudadas. Primeiro um estado de pseudovasculite como resultado de uma infiltração viral nas células endoteliais15. Segundo uma condição hipercoagulável caracterizada por uma coagulação intravascular disseminada16,17.
Essas características apresentadas, tornam plausível a correlação entre a infecção COVID-19 e as manifestações retinianas encontradas no presente caso, de acordo com a literatura8,9,13,14.
Os imunobiológicos estão sendo usados em complicações da COVID-19, não tendo uma atuação direta na causa (vírus), ou no estado de hipercoagulabilidade, mas sim na resposta do organismo frente à infecção, tais como a vasculite, a angiogênese patológica e o aumento dos níveis de citocinas, reduzindo os escapes, edema, hemorragias e fenômenos neovasculares25,26.
O tratamento proposto visou preservar o espaço sub-retiniano dos danos causados pelas hemorragias e consequentes edemas insidiosos ou súbitos, por isso, utilizou-se anti-VEGF com atenção à vasculite e a angiogênese patológica, reduzindo os escapes, edema, complexos inflamatórios, hemorragias e fenômenos neovasculares6,8,26.
Existem evidências de acometimento vascular retiniano em casos de infecção por COVID-19, incluindo eventos pós-vacina, uma vez que os eventos trombóticos sabidamente estão envolvidos na fisiopatologia da doença27. Os achados oftalmológicos nesse caso, coincidem com a maioria dos estudos atuais, porém, nos chama atenção a presença de hemorragia vítrea dentro de um curto espaço de tempo pós-infecção, sugerindo depósitos de imunocomplexos causando oclusão dos vasos retinianos6,28,29.
REFERÊNCIAS
1. Guan W, Ni Z, Hu Y, Liang WH, Ou CQ, He JX, Liu L, Shan H, Lei CL, Hui DSC, Du B, Li LJ, Zeng G, Yuen KY, Chen RC, Tang CL, Wang T, Chen PY, Xiang J, Li SY, Wang JL, Liang ZJ, Peng YX, Wei L, Liu Y, Hu YH, Peng P, Wang JM, Liu JY, Chen Z, Li G, Zheng ZJ, Qiu SQ, Luo J, Ye CJ, Zhu SY, Zhong NS, China Medical Treatment Expert Group for Covid-19. Clinical Characteristics of Coronavirus Disease 2019 in China. N Engl J Med. 2020;382(18):1708-1720.
2. Wu P, Duan F, Luo C, Liu Q, Qu X, Liang L, et al. Characteristics of Ocular Findings of Patients with Coronavirus Disease 2019 (COVID-19) in Hubei Province, China. JAMA Ophthalmol. 2020; 138(5):575-578.
3. Lawrenson JG, Buckley RJ. COVID-19 and the eye. Ophthalmic Physiol Opt. 2020;40(4):383-388.
4. Chen L, Deng C, Chen X, Zhang X, Chen B, Yu H, et al. Ocular manifestations and clinical characteristics of 535 cases of COVID-19 in Wuhan, China: A cross-sectional study. Acta Ophthalmologica. 2020;98(8):e951-e959.
5. Ortiz-Egea JM, Ruiz-Medrano J, Ruiz-Moreno JM. Retinal imaging study diagnoses in COVID-19: a case report. J Med Case Rep. 2021;15(1):15.
6. Sheth JU, Narayanan R, Goyal J, Goyal V. Retinal vein occlusion in COVID-19: A novel entity. Indian J Ophthalmol. 2020;68(10): 2291-2293.
7. Landecho MF, Yuste JR, Gándara E, Sunsundegui P, Quiroga J, Alcaide AB, et al. COVID-19 retinal microangiopathy as an in vivo biomarker of systemic vascular disease? J Intern Med. 2021; 289(1):116-120.
8. Walinjkar JA, Makhija SC, Sharma HR, Morekar S, Natarajan S. Central retinal vein occlusion with COVID-19 infection as the presumptive etiology. Indian J Ophthalmol. 2020;68(11):2572-2574.
9. Yahalomi T, Pikkel J, Arnon R, Pessach Y. Central retinal vein occlusion in a young healthy COVID-19 patient: A case report. Am J Ophthalmol Case Rep. 2020 Dec;20:100992.
10. Jonas JB, Monés J, Glacet-Bernard A, Coscas G. Retinal vein occlusions. Dev Ophthalmol. 2017;58:139-167.
11. Schmidt-Erfurth U, Garcia-Arumi J, Gerendas BS, et al. Guidelines for the Management of Retinal Vein Occlusion by the European Society of Retina Specialists (EURETINA). Ophthalmologica. 2019;242(3):123-162.
12. Bikdeli B, Madhavan MV, Jimenez D, Chuich T, Dreyfus I, Driggin E, Nigoghossian CD, Ageno W, Madjid M, Guo Y, Tang LV, Hu Y, Giri J, Cushman M, Quéré I, Dimakaks EP, Gibson CM,Lippi G, Favaloro EJ, Fareed J, Caprini JA, Tafur AJ, Burton JR, Francese DP, Wang EY, Falanga A, McLintock C, Hunt BJ, Spyropoulos AC, Barnes GD, Eikelboom JW, Weinberg I, Schulman S, Carrier M, Piazza G, Beckman JA, Steg PG, Stone GW, Rosenkranz S, Goldhaber SZ, Parikh SA, Monreal M, Krumholz HM, Konstantinides SV, Weitz JI, Lip GYH, Global COVID-19 Thrombosis Collaborative Group, Endorsed by the ISTH, NATF, ESVM, and the IUA, Supported by the ESC Working Group onPulmonary Circulation and Right Ventricular Function. COVID-19 and Thrombotic or Thromboembolic Disease: Implications for Prevention, Antithrombotic Therapy, and Follow-Up: JACC State-of-the-Art Review. J Am Coll Cardiol. 2020;75(23):2950-2973.
13. Abrishami M, Emamverdian Z, Shoeibi N, Omidtabrizi A, Daneshvar R, Rezvani TS, et al. Optical coherence tomography angiography analysis of the retina in patients recovered from COVID-19: a case-control study. Can J Ophthalmol. 2021;56(1):24-30.
14. Ho D, Low R, Tong L, Gupta V, Veeraraghavan A, Agrawal R. COVID-19 and the Ocular Surface: A Review of Transmission and Manifestations. Ocul Immunol Inflamm. 2020;28(5):726-734.
15. Varga Z, Flammer AJ, Steiger P, Haberecker M, Andermatt R, Zinkernagel AS, et al. Endothelial cell infection and endotheliitis in COVID-19. Lancet. 2020;395(10234):1417-1418.
16. Tang N, Li D, Wang X, Sun Z. Abnormal coagulation parameters are associated with poor prognosis in patients with novel coronavirus pneumonia. J Thromb Haemost. 2020;18(4):844-847.
17. Klok FA, Kruip MJHA, van der Meer NJM, et al. Incidence of thrombotic complications in critically ill ICU patients with COVID-19. Thromb Res. 2020 Jul;191:145-147.
18. Hurwitz H, Fehrenbacher L, Novotny W, Cartwright T, Hainsworth J, Heim W, et al. Bevacizumab plus Irinotecan, Fluorouracil, and Leucovorin for Metastatic Colorectal Cancer. N Engl J Med. 2004;350(23):2335-42.
19. Michels S, Rosenfeld PJ, Puliafito CA, Marcus EN, Venkatraman AS. Systemic bevacizumab (Avastin) therapy for neovascular age-related macular degeneration: Twelve-week results of an uncontrolled open-label clinical study. Ophthalmology. 2005; 112(6):1035-47.
20. Avery RL, Pieramici DJ, Rabena MD, Castellarin AA, Nasir MA, Giust MJ. Intravitreal bevacizumab (Avastin) for neovascular age-related macular degeneration. Ophthalmology. 2006;113(3):363-372.
21. Haritoglou C, Kook D, Neubauer A, Wolf A, Priglinger S, Strauss R, et al. Intravitreal bevacizumab (Avastin) therapy for persistent diffuse diabetic macular edema. Retina. 2006;26(9):999-1005.
22. Duabetic Retinopathy Clinical Research Network, Scott IU, Edwards AR, Beck RW, Bressler NM, Chan CK, Elman MJ, Friedman SM, Greven CM, Maturi RK, Pieramici DJ, Shami M, Singerman LJ, Stockdale CR. A Phase II Randomized Clinical Trial of Intravitreal Bevacizumab for Diabetic Macular Edema. Ophthalmology. 2007;114(10):1860-7.
23. Schaal KB, Höh AE, Scheuerle A, Schütt F, Dithmar S. Bevacizumab zur Therapie des Makulaödems Infolge Venöser Retinaler Gefäßverschlüsse. Ophthalmologe. 2007;104(4):285-9.
24. Priglinger SG, Wolf AH, Kreutzer TC, Kook D, Hofer A, Strauss RW, et al. Intravitreal bevacizumab injections for treatment of central retinal vein occlusion: Six-month results of a prospective trial. Retina. 2007;27(8):1004-12.
25. Damico FM. Angiogênese e doenças da retina. Arq Bras Oftalmol. 2007;70(3):547-553.
26. Sahebnasagh A, Nabavi SM, Kashani HRK, Abdollahian S, Habtemariam S, Rezabakhsh A. Anti-VEGF agents: As appealing targets in the setting of COVID-19 treatment in critically ill patients. Int Immunopharmacol. 2021;101(Pt B):108257.
27. Silva LSCD, Finamor LPS, Andrade GC, Lima LH, Zett C, Muccioli C, et al. Vascular retinal findings after COVID-19 vaccination in 11 cases: a coincidence or consequence? Arq Bras Oftalmol. 2022; 85(2):158-165.
28. Giampietro BV, Dutra S, Oliveira RVC, Biancardi AL, Veloso V, Curi ALL. Ophthalmological Findings in Patients with SARS-CoV-2 Infection Examined at the National Institute of Infectious Diseases - INI/Fiocruz. Ocul Immunol Inflamm. 2021 Oct 14:1-4.
29. Shiroma HF, Lima LH, Shiroma YB, Kanadani TC, Nobrega MJ, Andrade G, et al. Retinal vascular occlusion in patients with the Covid-19 virus. Int J Retina Vitreous. 2022;8(1):45.
INFORMAÇÃO DOS AUTORES




Financiamento: Declaram não haver
Conflitos de Interesse: Declaram não haver
Recebido em:
12 de Julho de 2022.
Aceito em:
11 de Outubro de 2022.