Renata Caroline Ferreira Gomes1; Isabela Martins Melo1; Déborah Schulthais Ramos2; Marcela Mattar de Melo Miranda Salim1
DOI: 10.17545/eOftalmo/2022.0006
RESUMO
A neuropatia óptica distireoidiana é uma complicação da orbitopatia de Graves resultante da compressão do nervo óptico pelos músculos extraoculares e pela gordura orbitária. Redução da acuidade visual, alterações do campo visual e defeito pupilar aferente relativo são alguns dos sintomas resultantes dessa neuropatia, que, se não tratada corretamente, apresenta 30% de chance de evoluir para cegueira. Neste relato, discutiremos o caso de uma paciente do sexo feminino com quadro de neuropatia óptica distireoidiana, queixando-se de embaçamento visual progressivo em olho direito, porém com pouca alteração da função visual. Elucidaremos o diagnóstico e tratamento desafiador dessa condição clínica, que requer acompanhamento próximo e cauteloso.
Palavras-chave: Neuropatia Óptica Distireoidiana; Doença dos Olhos da Tiroide; Orbitopatia de Graves; Tratamento.
ABSTRACT
Dysthyroid optic neuropathy is a severe complication of Graves orbitopathy resulting from the compression of the optic nerve by enlarged extraocular muscles and orbital fat. Reduction in visual acuity, visual field loss and relative afferent pupillary defect are some of its symptoms, which can progress if not treated correctly, leading to blindness in 30% of patients. In this report, we will discuss the case of a female patient with dysthyroid optic neuropathy, complaining of progressive visual loss in her right eye, but with only mild changes in her visual functions. We will elucidate the diagnosis and challenging treatment of this clinical condition, which requires a close and cautious follow-up.
Keywords: Dysthyroid Optic Neuropathy; Thyroid Eye Disease; Graves Orbitopathy; Treatment.
INTRODUÇÃO
A neuropatia óptica distireoidiana (NOD) é a forma mais grave da orbitopatia de Graves (OG), ocorrendo devido à compressão do nervo óptico pelo espessamento dos músculos extraoculares e aumento da gordura orbital dentro da estrutura óssea rígida da órbita. Felizmente, esta é uma complicação rara que afeta apenas cerca de 5% dos pacientes com OG1-2. Entretanto, quando não diagnosticada e tratada corretamente, a NOD apresenta considerável risco de morbidade, levando à cegueira em 30% dos pacientes3.
Anormalidades na função visual, tais como acuidade visual, campo visual, visão de cores e sensibilidade ao contraste, são observadas na maioria dos pacientes acometidos por NOD2. Outros achados comuns que podem ser encontrados no exame oftalmológico são edema do nervo óptico e defeito pupilar aferente relativo (DPAR)1. O objetivo deste relato é descrever o tratamento da NOD em uma paciente com alterações leves da função visual.
RELATO DE CASO
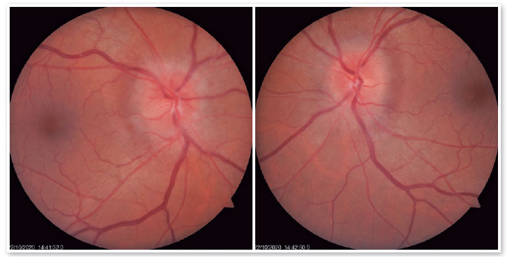
Paciente do sexo feminino, 48 anos, foi encaminhada ao nosso serviço com diagnóstico prévio de orbitopatia de Graves, com queixa de embaçamento visual progressivo no olho direito (OD) e diplopia para perto, sendo pior na mirada para baixo. Ela havia sido submetida a tratamento com iodo radioativo e cirurgia de estrabismo para correção de um estrabismo restritivo em 2018. No exame oftalmológico, a paciente apresentava proptose bilateral, retração palpebral e lid lag. As pupilas eram redondas e iguais em tamanho, sem DPAR. A acuidade visual com correção (AVCC) era de 20/30 no OD e 20/25 no olho esquerdo (OE). A visão de cores, avaliada com o Painel 15, estava inalterada em ambos os olhos (AO) e a sensibilidade ao contraste, avaliada com Pelli-Robson Contrast Sensitivity Chart, apresentava redução em OD. O campo visual computadorizado (CVC), Haag-Streit Octopus, mostrou escotomas relativos centrais e paracentrais apenas em OD, sem alterações em OE (Figura 1). O exame com lâmpada de fenda revelou hiperemia conjuntival leve, sem edema da carúncula, e disco óptico elevado, com margens borradas em AO (Figura 2). A tomografia de coerência óptica, Zeiss Cirrus (OCT), mostrou aumento da espessura da camada de fibras nervosas da retina (CFNR), compatível com edema do disco óptico (Figura 3). A ressonância nuclear magnética (RNM) orbitária revelou espessamento dos músculos extraoculares, principalmente do reto medial e reto lateral, “crowded apex” e compressão do nervo óptico no canal óptico (Figura 4).




Foi então realizado tratamento endovenoso com metilpredinisolona 500 mg ao dia por três dias, com melhora do edema do disco óptico e da AVCC (OD 20/25 e OE 20/20). A paciente recebeu alta hospitalar com acompanhamento ambulatorial junto ao Departamento de Neuro-Oftalmologia do Instituto Biocor. Uma nova consulta foi agendada em duas semanas, porém a paciente só retornou após sete semanas com queixa de piora da visão. Em seu novo exame clínico, apresentava AVCC de 20/40 no OD e 20/30 no OE e piora do edema do disco óptico, principalmente no OE (Figura 5). A paciente foi submetida a um novo ciclo de metilprednisolona intravenosa com incremento da dose para 1g ao dia por cinco dias e, posteriormente, prednisona oral 60 mg ao dia com duração a ser determinada. Após cinco semanas de tratamento, houve recuperação completa da função visual (AV e CVC) e redução significativa do edema do disco óptico a fundoscopia e ao OCT (Figura 3).

No entanto, antes de iniciar o desmame da corticoterapia, a paciente notou leve piora da visão e teve de retornar para um novo exame, o qual mostrou recidiva do edema de disco óptico, com AVCC de 20/25 no OD e 20/20-2 no OE, associada a discreta redução no teste de sensibilidade ao contraste no OD. Em função da alta dose de manutenção, problemas de tolerância e efeitos colaterais da prednisona, optamos pela realização de descompressão orbitária por via endoscópica. Portanto, uma esfenoetmoidectomia endonasal bilateral foi realizada em conjunto pela equipe da neurocirurgia e oftalmologia. Passadas duas semanas de pós-operatório, a paciente apresentou melhora estética da proptose, recuperação completa dos déficits visuais e resolução do edema do disco óptico (Figura 6).

DISCUSSÃO
A NOD é uma complicação rara e potencialmente irreversível da OG, doença autoimune causada pela ativação de fibroblastos por autoanticorpos contra os receptores da tireoide. Os fibroblastos oculares possuem receptores para o hormônio estimulante da tireoide e, portanto, tornam-se alvo de autoimunidade celular e humoral 4-5. Isso acaba resultando em deposição de glicosaminoglicanos e remodelação do tecido conjuntivo, gerando espessamento dos músculos extraoculares e expansão da gordura orbitaria, o que leva a uma compressão do nervo óptico no canal óptico5, como demonstrado na RNM do caso relatado.
O acometimento do nervo óptico comumente resulta em perda da função visual, com redução da visão de cores, sensibilidade ao contraste, baixa acuidade visual, escotomas no campo visual, além de DPAR e edema de disco óptico. Os sintomas congestivos normalmente precedem a perda visual, que é geralmente assimétrica6. No nosso caso não foi diferente, a acuidade visual da paciente estava discretamente alterada no momento do diagnóstico, embora os sintomas congestivos já fossem extremamente evidentes (proptose, edema do disco óptico e aumento dos músculos extraoculares). Embora o teste de visão de cores tenha sido normal, o Desaturated Panel-15 provavelmente seria uma opção melhor para avaliar a NOD, pois possui maior sensibilidade e, portanto, maior capacidade de discriminar discromatopsias adquiridas.
O diagnóstico de NOD foi sugerido pelo edema bilateral do disco óptico e aumento da espessura da CFNR no OCT, concomitante aos achados da RNM, que demonstraram compressão de ambos os nervos ópticos.
Quando a NOD não é tratada adequadamente em seus estágios iniciais, pode levar à cegueira em até 30% dos casos3. Na literatura atual, os tratamentos recomendados incluem corticosteroide intravenoso, descompressão orbitária e radioterapia orbitária; embora esta última tenha benefício ainda questionável7. De acordo com o Consenso de Eugogo de 2008, os corticosteroides intravenosos em altas doses são o tratamento de primeira linha para a NOD. No entanto, se a resposta clínica ainda for ruim após duas semanas, a descompressão orbitária é o próximo passo a ser considerado8.
Como a nossa paciente apresentava edema de disco óptico recidivante e deterioração da função visual, apesar de altas doses de pulsoterapia com metilprednisolona e tratamento de manutenção com prednisona oral, optamos por realizar descompressão orbitária endoscópica para obter um desfecho clínico final. Ressalta-se que, embora a recuperação visual possa ser observada em aproximadamente 43% dos casos que utilizam corticosteroides intravenosos9, estes raramente causam redução da proptose e recorrências são frequentes; assim, a descompressão cirúrgica ainda pode ser justificada10 .
A cirurgia para NOD deve descomprimir o nervo óptico no ápice orbitário, diminuindo o volume dos tecidos moles, ao remover gordura orbitaria e expandir sua estrutura óssea; neste caso através de uma esfenoetmoidectomia. Embora a remoção óssea possa ocorrer em qualquer parede orbitária, a parede ínferomedial se estende mais profundamente no ápice e é a abordagem de primeira linha de descompressão10.
No caso relatado, a paciente apresentou melhora completa da acuidade visual, dos campos visuais e do edema do disco óptico após descompressão orbitária endoscópica bilateral e simultânea.
Se não diagnosticada e tratada precocemente, a NOD pode causar perda visual irreversível devido à lesão compressiva do nervo óptico. Portanto, é crucial avaliar todas as funções visuais, incluindo campo visual, visão de cores e sensibilidade ao contraste, não apenas para diagnóstico, mas também para ponderar riscos e benefícios das opções de tratamento disponíveis. No caso descrito, os testes de função visual, exame de fundo de olho e avaliação do nervo óptico através da análise da CFNR pelo OCT foram essenciais ao diagnóstico, monitoramento e decisão cirúrgica da NOD.
REFERÊNCIAS
1. McKeag D, Lane C, Lazarus J, Baldeschi L, Boboridis K, Dickinson A et al. Características clínicas da neuropatia óptica distireoidiana: uma pesquisa do Grupo Europeu de Orbitopatia de Graves (EUGOGO). Br J Oftalmol. 2006;91(4):455-8.
2. Saeed P, Tavakoli Rad S, Bisschop P. Disthyroid Optic Neuropathy. Cirurgia Oftálmica Plast Reconstr. 2018;34(4S):S60-S67.
3. Giaconi J, Kazim M, Rho T, Pfaff C. Evidências de tomografia computadorizada de neuropatia óptica distireoidiana. Cirurgia Oftálmica Plast Reconstr. 2002;18(3):177-82.
4. Tanda M, Piantanida E, Liparulo L, Veronesi G, Lai A, Sassi L et al. Prevalência e História Natural da Orbitopatia de Graves em uma Grande Série de Pacientes com Hipertireoidismo de Graves Recém-diagnosticado atendidos em um único centro. J Clin Endocrinol Metab. 2013;98(4):1443-1449.
5. Bahn R. Insights atuais sobre a patogênese da oftalmopatia de Graves. Horm Metab Res. 2015;47(10):773-778.
6. Jonathan D. Trobe; Joel S. Glaser; Pierre Laflamme. Perfil Clínico da Neuropatia Óptica Distireoidiana e Racional para o Gerenciamento. Arch Oftalmol . 1978;96(7):1199-1209.
7. Mourits M, van Kempen-Harteveld M, García M, Koppeschaar H, Tick L, Terwee C. Radioterapia para orbitopatia de Graves: estudo randomizado controlado por placebo. Lancet. 2000; 355(9214):1505-9.
8. Bartalena L , Baldeschi L , Dickinson A , Eckstein A , Kendall-Taylor P , Marcocci C , Mourits M , Perros P , Boboridis K , Boschi A , Currò N , Daumerie C , Kahaly GJ , Krassas GE , Lane CM , Lazarus JH , Marinò M , Nardi M , Neoh C , Orgiazzi J , Pearce S , Pinchera A , Pitz S , Salvi M , Sivelli P , Stahl M , V on Arx G , Wiersinga WM . Declaração de Consenso do Grupo Europeu de Orbitopatia de Graves (EUGOGO) sobre o manejo da OG. Eur Endocrinologia. 2008;158(3):273-85.
9. Currò N, Covelli D, Vannucchi G, Campi I, Pirola G, Simonetta S et al. Resultados terapêuticos de esteróides intravenosos de alta dose no tratamento da neuropatia óptica distireoidiana. Tireoide. 2014; 24(5):897-905.
10. Alexander D. Blandford, Dalia Zhang, Rao V. Chundury, Julian D. Perry. Neuropatia óptica distireoidiana: atualização sobre patogênese, diagnóstico e tratamento. Especialista Rev Oftalmol. 2017;12(2):111-21.
INFORMAÇÃO DOS AUTORES



Financiamento: Declaram não haver
Conflitos de Interesse: Declaram não haver
Recebido em:
5 de Julho de 2021.
Aceito em:
5 de Maio de 2022.